取消静音
听新闻
四川一胎儿在医院检出嵌合体超雄综合征,引发网友关注。7月20日,家属回应:纠结了一个月决定终止妊娠,现已在医院。
近日
#家属回应胎儿检出超雄综合征#
冲上微博热搜引发关注

胎儿显示“超雄”,网友劝打掉
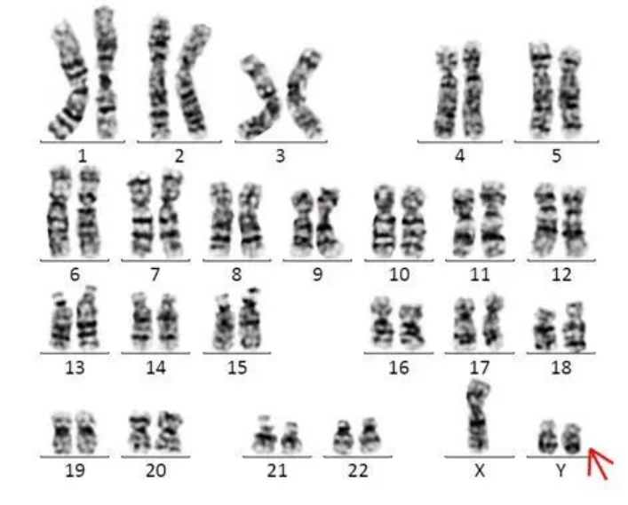
根据这位准妈妈在网上发布的临床报告单显示,她怀孕已经25+5周,临床症状描述:胎儿附属物异常,彩超提示羊水过多。结果解释:检测到样本Y染色体数目偏多,推测为XY与XYY嵌合,或者其它复杂核型。
这位准妈妈称得知结果后,自己心情很崩溃,上网求助网友自己应该怎么做。
网友看到检查结果之后很惊恐,有人将超雄综合征称为“恶魔基因”,“超雄的犯罪率很高,很多罪犯基本是超雄综合征”“生下来就相当于在所有人身边安一个定时炸弹”。
十几万人都劝博主把这个孩子打掉。并例举了很多超雄综合征孩子以后会出现的状况,如暴力、发育迟缓、犯罪、无法生育等。


7月20日中午,这名准妈妈在网络上回应:纠结一个多月后,在结合自身普通家庭的情况、考虑到孩子出生后的种种不确定因素,以及跟各大医院的老师、专家和教授沟通后,已在18日签订终止妊娠书,现在正在住院中。
她在回应文章中表示,希望各位网友不要再“妖魔化”超雄。超雄综合征确实可能导致身材高大、孤独症、多动症、精神分裂症等,但这只是嵌合体时基因分裂问题。
什么是“超雄综合征”?
XYY综合征,又称为超雄综合征,是最常见男性性染色体疾病之一,在男性婴儿中,该病发病率约为1‰。南京鼓楼医院妇产科胎儿医学中心医师姜子晗介绍,由于该病患儿在儿童期多无特征性临床症状,因此XYY综合征患儿多数被延迟诊断甚至终身未确诊。
近年,随着产前筛查与诊断技术的发展,临床上XYY综合征胎儿的检出率不断增加。既往有人认为XYY综合征与“天生犯罪”相关,XYY综合征胎儿到底能不能生,也再次成为热议话题。
据北京科学中心,超雄综合征患者常表现出冲动易怒,具有很强的攻击性、暴力性等问题。但过去的几十年里与XYY型有关的全部研究中,能够被确认的与XYY基因型明确相关的特征只有超过常人的身高,也就是说,性情暴虐且存在暴力倾向等性格特征与XYY基因型并没有直接的相关性,而现存的研究中,没有证据能够直接证明,XYY基因型携带者一定会有暴力倾向或者性格暴虐的特征。
在接受人民日报健康客户端采访时,复旦大学附属中山医院生殖医学中心主任董曦表示:“不是所有拥有XYY染色体的人都会犯罪,他们也是一个正常的人,不应该被冠上各种过激的符号去丑化他们。”
总之,“恶魔基因”这一说法其实并没有科学依据。遗传不是犯罪的决定性因素,其犯罪可能为后天社会环境等多种因素综合作用的结果。因此,对于诊断出XYY综合征胎儿的家庭进行遗传咨询时,应客观告知该类患儿可能出现的临床结局,由家庭视自身情况决定是否继续妊娠。

“超雄综合征”的临床表现
1、外貌特征
通常表现为身材高大、四肢细长,头围较普通人群大,体重一般正常。
2、智力及情绪
智力正常,但也有可能会比家中其他成员稍低些。易怒、过动、注意力不集中等在青春期早期可能出现,但随年纪渐长应可学习控制自己。有人说XYY患者可能具有性格孤僻、脾气暴躁、易激惹、易发生攻击性行为及有犯罪倾向等特征,但仅仅是个例情况。
3、生殖系统特征
大部分XYY综合征患者的性腺功能正常,具有正常的产生精子及生育的能力,但是有部分患者存在不同程度精子缺陷,表现为少精子症或无精子症。但随着生殖医学技术的发展,这方面的问题目前也得到了良好的解决,对生育困难的育龄期夫妇,可采用辅助生殖技术。
4、骨骼方面
骨骼的长度比宽度增加明显,尤其在头顶、手、足部。
5、生长发育
可能身高会比一般人较为高大,出生时便比别人高,5-6岁之后更明显。
热点推荐
分享成功
相关推荐