听新闻
因为一米六四的身高,29岁的刘安一直很自卑。2020年,他在网上偶然看到关于“断骨增高术”的帖子,开始关注这一手术。2023年,他联系到河南某公立三甲医院的一名骨科医生,花费了十几万元做了断骨增高术,想再“长”高6厘米。
术后,刘安并未实现长高的愿望,虽然左腿延长了6厘米,但右腿缩回1.5厘米,成了长短腿,走路一瘸一拐。他还出现了右腿踝关节炎等其他并发症。手术费加上修复治疗的费用,他已陆续花掉三十多万元。
断骨增高术在医学上又叫肢体延长术,主要用于先天残疾或肢体畸形的病人,且可能出现严重并发症。早在2006年,卫生部下发通知,明确这是一项用于临床的骨科治疗技术,严禁用于美容项目。但记者调查发现,迄今为止,这一手术仍被超适应证滥用。
被隐瞒的风险
“很后悔做了这一手术。”刘安称,医生告诉他,他右脚踝关节的软骨组织损伤,导致了踝关节融合,目前没有有效的治疗办法,只能维持现状。
与刘安一样,术后的程梦一样面临着并发症的长期折磨。做断骨增高术前,程梦的身高只有一米五五。“站在别人旁边,有时穿着高跟鞋才只到人家肩膀。”她说。2021—2022年,程梦在土耳其先后做了大小腿的断骨增高术,共延长十多厘米。虽然实现了增高,但她却要面对手术带来的一系列并发症和后遗症。她的右小腿患上慢性骨髓炎,双腿变成了X型腿,还出现膝盖外翻、脚足内翻等并发症。
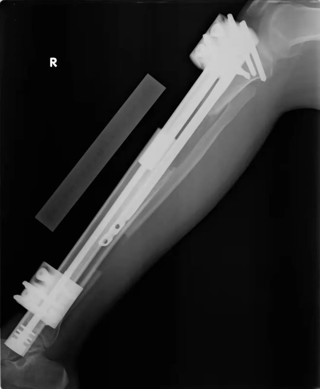
断骨增高术,简单来说,就是通过手术将人的腿骨锯断,然后再人为拉长断骨间的距离,达到增高的目的。上海市一家知名三甲医院的骨科主任医师张昊告诉《中国新闻周刊》,临床上医疗目的的肢体延长术,大多用的是髓内钉辅助外固定架延长(英文缩写LON)的方式,患者需经历不止一次手术。髓内钉是骨科手术中用于固定骨头的器械,是为了保证骨延长之后,腿不长歪。“手术技术是成熟的,但本身存在风险,而且出现并发症的概率很高。”他说。
程梦小腿的增高手术采用的便是LON方式。人体的下肢骨骼中,胫骨和腓骨两根长骨,组成了小腿的骨架结构,是腿部主要负重骨骼,肩负着行走和负重功能。2021年发表在《中华骨科杂志》上的一篇文章指出,LON方式的手术中,首先髓内钉被置入胫骨的中心,锁定髓内钉近端螺钉后,然后将胫骨、腓骨打断,并安装外固定架,术后通过调节外固定架,将两段骨骼的间隙拉得更开,使骨头沿髓内钉缓慢延长,完成目标延长长度后,锁定髓内钉远端螺钉,最后拆除外固定架。延长的骨头愈合良好后,需二次手术再去除髓内钉。
给患者安装外固定架时,患者需要忍受多根钢针扎穿双腿的痛苦。北京协和医院主任医师潘慧此前接受采访时谈到,外固定架通过钢针穿过受试者的双腿,稍有不慎便会损伤腿部的血管、肌肉和神经组织,如果钢针消毒不彻底,随时可能造成穿孔感染,甚至引发骨髓炎,造成残疾。
张昊表示,术后1—2周,患者或医护人员需每天拧动外固定架的螺丝,进行骨延长。延长期,被截断的腿部骨头被强行拉长,腿部的神经、血管、肌肉、皮肤也被随之拉长。延长长度越大,并发症出现的可能性越大。
张昊称,X型腿、长短腿等在适应证范围内的患者,可以通过断骨增高术进行腿部矫正。这类患者如果不及时矫正,容易产生关节炎等问题。但对于腿部无疾病的健康人群,国内不允许开展这一手术。
“通过手术延长的骨头质量,比自然长出的骨头质量差很多,骨头更脆弱、细软,肢体功能下降,容易导致骨折。”张昊表示,很多实现骨延长的患者,拆了外固定架后,还需通过手术再置入钢板或进行植骨,防止骨头断裂。此外,还存在术后因神经损伤、血管损伤而导致瘫痪,甚至肢体坏死需要截肢的少数案例。
“内置髓内钉,延长期内针道感染发生率更高。”前述《中华骨科杂志》中的文章指出。2022年7月,在土耳其拆除外固定架两个月后,程梦的右小腿断骨处开始红肿、疼痛,两天后,红肿部位出现破溃、流脓。随后,程梦被当地医院诊断为急性骨髓炎,她第一时间联系了推荐她去土耳其做手术的医托,以及土耳其中介和手术医生,被告知口服抗生素即可,“当地医生告诉我,不需要清创和取出髓内钉”。程梦说,她持续使用抗生素类药物6周左右,但伤口一直未愈合,当年9月,程梦被确诊为慢性骨髓炎。
“治疗慢性骨髓炎的重点是彻底清创和修复骨缺损。”2024年7月发表在《国际骨科学杂志》上的一篇文章指出,对于由内固定或外固定术导致的慢性骨髓炎,要去除植入物,原因在于植入物存在时无法进行有效、彻底地清创。张昊表示,做断骨增高术的人,患骨髓炎的概率在10%左右。急性骨髓炎患者,不一定要取出髓内钉,但要靠大量抗生素治疗,并进行清创手术。对伤口反复不愈合的患者来说,治疗必须取出髓内钉。

程梦告诉《中国新闻周刊》,与她一起去土耳其做断骨增高术的患者中,不少人术后都出现各种并发症。他们互称为“腿友”。很多“腿友”的术后并发症是在手术结束1年后才确诊的。
北京市一家骨科专科三甲医院的医生廖洋向《中国新闻周刊》表示,国内之所以禁止开展非医疗目的的断骨增高术,就是因医疗事故太多。临床上,他遇到不少在越南、韩国做断骨增高术的国内患者,这些患者因术后出现神经损伤等病症,向他寻求帮助。
手术前,程梦很喜欢运动,经常能跑十多公里。如今,她上下楼梯,不扶栏杆容易摔倒;甚至不借助双手,无法从凳子上站起来,也无法跑、跳、蹲。连续走500米以上都有点吃力,腿上像绑了重的沙袋。张昊表示,做这一手术后,基本意味着告别了剧烈运动。
泛滥的医托
术前,刘安和程梦的腿部,不存在任何问题。《中国新闻周刊》了解到,仅出于增高目的,想做断骨增高术的人不少,他们活跃在多个断骨增高的QQ群、微信群中。
事实上,医美性质的断骨增高术已被官方叫停近20年。2006—2007年,卫生部先后两次发布关于断骨增高术的通知。2007年的通知指出,该手术适应证为先天畸形、外伤、肿瘤、感染等原因所致的骨缺损或肢体不等长,以及因疾病引起的肢体畸形。不具备以上适应证的,严格禁止开展该手术;严禁用于美容项目。此外,开展该手术的医疗机构,应为具备条件的三级综合医院或骨科专科医院,具有卫生行政部门批准的“骨科”诊疗科目。
即便如此,这一手术在医美领域依然形成了一条灰色产业链。张昊表示,非医疗目的的断骨增高术因为利润高,有长高需求的人很多,得以一直存在。赵方成是北京市一家三甲医院的内分泌科主任医师。据他了解,现在国内很多私立医院、美容机构在隐秘地开展这种手术,甚至有些知名的退休医生,也被邀请到私立机构做手术。
医托在其中扮演着不可或缺的角色。《中国新闻周刊》注意到,在各种“断骨增高”群以及微博、微信、B站等平台,不少中介、医托会通过发布宣传信息,吸引人们做手术。刘安表示,医托为医生拉一单手术,能拿到比例不低的提成,一台十几万元的手术,医托一般能从中获利三分之一甚至更多。
记者以做手术名义,向一位微信名为“眯”的医托咨询。这名医托告诉记者,她做过断骨增高术,目前恢复得很好。她向记者推荐一家位于海南海口的私立医院。这名医托称,大家会组团来做手术,医院平均每两天做一台断骨增高术,一个月能做一二十台,基本是采用LON的方式。手术团购价12万元,由正规三甲公立医院的医生主刀,一般为患者增高6—8厘米,术后住院7—15天。出院后,患者可以回家或在当地康复中心康复。
多名做过断骨增高术的受访者告诉《中国新闻周刊》,“风筝”是断骨增高术圈子里有名的“医托”。刘安表示,2020年开始,“风筝”开始在国内各大网络平台注册账号,推广断骨增高术。
2020年,程梦通过贴吧添加了“风筝”的联系方式,被“风筝”拉进有几百人的土耳其断骨增高手术群。程梦说,在群里,经常看到有人分享在土耳其手术成功的视频。程梦说,医托分享的很多患者术后短时间就能走路、跑、跳的视频,让她以为,这一手术风险很小。“原来胆子小的人,只要进了这个术前群,没过几天就会变成‘勇士’,渐渐以为失败只是个例,但实际并非如此。”程梦说,手术前,土耳其的中介曾告诉她,断骨增高术的安全性很高,成功率至少在90%以上。
《中国新闻周刊》记者曾以“腿友”身份联系上“风筝”。8月20日,“风筝”给记者分享了多条视频和照片信息,视频中是多名做过断骨增高术的患者在某机构的日常生活。“风筝”表示,目前15万元可以实现一条龙服务:三级公立医院十多年经验的大主任主刀、赠送整形美容缝合、4个月骨延长期的住宿、康复理疗等。随后,“风筝”给记者推荐了微信名为“骨管家骨科康复咨询(唯一号)”的联系人。
该联系人称,做手术的地点是在山东菏泽,并为记者推荐了菏泽市牡丹人民医院骨科副主任医师曹丕健。公开资料显示,曹丕健从事骨外科医疗及教学工作近20年。“很多断骨增高手术都是曹主任做的。”这名联系人表示,现在8月份的手术已经排满了,要做只能等下个月初再安排。
据河南电视台《都市报道》此前调查,山东有医托介绍断骨增高术,手术地点在山东菏泽鸿泰医院,主刀医生是曹丕健。菏泽市牡丹人民医院院方曾回应媒体,已采取紧急处理决定,对曹某健停职停岗。
对于违规开展断骨增高术的医疗机构和医师,前述国家卫生部2007年发布的通知曾给出处理办法。《中华人民共和国执业医师法》第三十七条规定,医师在执业活动中,有违反卫生行政规章制度或技术操作规范,造成严重后果等行为,由县级以上人民政府卫生行政部门给予警告或责令暂停六个月以上一年以下执业活动;情节严重的,吊销其执业证书;构成犯罪的,依法追究刑事责任。
廖洋表示,尽管他所在的医院有这项技术,但不会给单纯想增高的人开展,因为一旦被查出,医生会被吊销执业资格。“但目前对违法开展断骨增高术的机构和医生处罚力度太低。”张昊说。
北京盈科律师事务所高级合伙人王轶群告诉《中国新闻周刊》,《民法典》规定,若私立医院违反规定私自开展断骨增高术,造成患者在诊疗活动中受到损害,私立医院应对患者承担赔偿责任。若医院采用虚构事实、夸大医疗效果等宣传方式,诱骗患者开展断骨增高术,造成财产损失的,可能涉嫌诈骗罪,还可能涉嫌医疗事故罪。
据媒体报道,针对断骨增高术相关信息引流、拉人乱象,贴吧、快手及抖音等多个社交平台表示,已开展排查,涉事多个账号已被处理。
身高焦虑的爆发
一名做过断骨增高手术且有并发症的患者告诉《中国新闻周刊》,很多患者出现并发症后,并不愿发声。因为他们担心曝光后,为其做手术的私立机构,不愿为其进行腿部修复。还有一些患者因为没钱修复,转而选择做医托,拉更多的人做手术。
这名患者表示,术后出现并发症维权很难。为了符合手术适应证,健康的人做断骨增高术时,手术原因会被写成腿部残疾、腿部畸形等。术前,医生也不会给做手术的患者拍腿部的全长片。因此,如果患者术后出现并发症,会因为无法证明患者术前是健康人,维权无门。
一个原本健康的人,为何甘愿冒着巨大风险,去做一个风险高且难以维权的手术?
“这不仅是技术问题,更是一个社会问题,这背后是社会身高焦虑的集中爆发。”赵方成表示。他认为,对这部分人群,应引导他们正确面对身高问题,而不是为了迎合社会审美,把自己置于巨大风险中。
张昊谈到,愿意去做断骨增高手术的人,往往都存在焦虑、自卑等情绪。“这部分人大多是偷偷做手术,默默成了‘残疾’。”赵方成感到如今社会上对身高的焦虑和畸形追求。他的门诊快变成了心理咨询门诊,“很多骨骺线已经闭合的年轻人来问我,还能不能再长高一点。”赵方成说,他一般都会直接“浇灭”对方的希望。
在赵方成看来,身高并不是导致一切问题的原罪。对想长高的健康人群来说,断骨增高术是一种病态的方式。想解决身高焦虑,要先从正确认识身高做起。但现实是,决定做手术的人,很难被说服放弃。即便知道做完可能会致残,他们也愿意放手一搏。
张昊表示,医美领域的手术,国家一直都谨慎推广。对于需要付出很大代价的医美手术,往往带来的并发症和医疗纠纷风险都很高。即便是国外,开展这项手术也大多是基于医疗性质的治疗,医美性质的手术并不多。据媒体2020年报道,全世界范围内,医美性质的断骨增高术只在一些私人医疗机构开展。该报道指出,这种手术价格昂贵,在英国至少要5万英镑,在美国价格更高,需要75000美元—28万美元。
“这种手术不仅价格昂贵,而且背后有很多未知隐患,增高后的肢体功能比原来差很多。”张昊称,健康的人将断骨增高术当做增高的“救命稻草”。他分析,从治疗疾病的角度看,有些骨肿瘤病人,肿瘤切除后产生大段的骨缺损,这项技术可以帮助患者恢复肢体功能,也能避免截肢。即便恢复肢体功能差一些,但对骨肿瘤病人来说,获益更高。但这项技术是一把双刃剑,如果滥用,就会产生一系列不确定的风险。
(文中刘安、程梦、张昊、廖洋、赵方成为化名)
记者:牛荷
分享成功
相关推荐
参与评论积分 龙珠商城兑好礼
打开华龙网查看全部评论 >